皮肤是陪伴女人一生的“衣服”,衣服换了可以扔,但是皮肤不可以,而且皮肤不好,穿再好看的衣服也没有用。但是脸上红血丝非常影响脸部美观,但是红血丝却不是很容易就能清除的。采用要采用什么方法才能祛除脸上红血丝呢?祛除红血丝要多少钱?针对许多爱美者心中的疑虑,无锡施尔美整形美容医院医生了详细的分析和介绍,希望对正为红血丝困扰的您有帮助。那么无锡祛除红血丝价格是多少呢?
直接问祛除红血丝多少钱
祛除红血丝价格是根据求美者的治疗方案来确定的,所以价格并不是固定的。
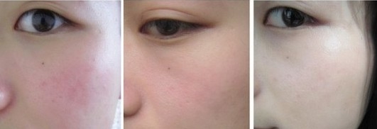
医生指出,红血丝也叫毛细血管扩张,是皮肤中的毛细血管持续性扩张而造成的,形成红色或紫红色斑状、点状、线状损害,偶有灼热感或刺痛感;红血丝还与身体的血液循环系统有关,风吹、日晒、高温刺激,伤及颜面经络,导致血脉扩张而发病;或有淤血阻滞经络,血脉运行不畅,淤血阻滞肌肤,使血脉扩张,表现为皮肤血管呈紫红色,病程较长,舌质有淤斑淤点等。无论是何种原因产生的红血丝,都可通过激光来治疗。
>>>>>>那激光祛红血丝要多少钱呢?<<<<<<
无锡施尔美整形美容医院医生介绍,激光祛红血丝价钱跟一下因素有关:
1、激光祛红血丝多少钱会根据不同地区和使用仪器的不同而又差异;
譬如在一线经济发达的城市,激光去除红血丝的价格就会相应的昂贵一些。且医疗设备先进,效果势必也会好很多,价格自然会高一些。
2、激光祛红血丝多少钱因面部红血丝面积的大小而不一样;
小面积的红血丝需要进行的激光治疗的次数就会少很多,通常情况下,一次就可以取出,价格就会比较便宜很多。
3、激光祛红血丝多少钱因选择的整形美容医院不同而不同;
每个医疗美容机构都有各自的收费标准,一个正规的、好的医院,因为这些医院技术力量较强、对新的医疗设备的掌握更好,激光去红血丝价钱也会高一些,但也很合理。
4、激光祛红血丝多少钱与选择的医生不同而有差别;
选择技术高,经验丰富的医生,收费也高一些,而普通的医生经验不多,技术不到位,收费也就会低一些。
5、激光祛红血丝多少钱与治疗的次数有关。
医生表示:祛红血丝一个疗程就可以有效改善肌肤问题,但每个人的肤质不同,少数人由于护理不当再次造成毛细血管扩张或是自身红血丝面积较大,那么治疗次数就会增加,因此具体的治疗次数不同,价格也不同。
激光祛红血丝多少钱?知道了吧!但医生提醒大家,对于激光去除红血丝的效果在目前来讲还是有很多的弊端,尤其对于面部角质层敏感过薄的人是不适合使用的,因为使用不当会导致面部角质层的进一步损伤,从而加重红血丝的症状。
医生指出,激光可以使扩张的血管封闭,不再有血流通过。一次激光治疗就能消除面部的红色,当然,如果特别粗大的红血丝则需要根据情况指定疗程。一般情况,激光祛红血丝需做五次左右,每三周一次,每次持续二十分钟,通常2-3次即可看到理想效果。
咨询请点击
:在线咨询预约 新优惠申请 医生坐诊申请
预约来院咨询:0510—85110888